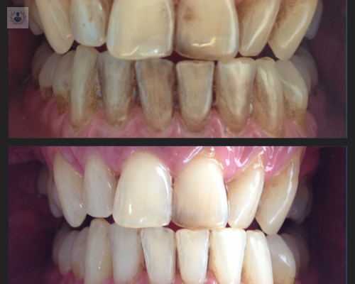
Tratamiento Periodontal antes de colocar Implantes Dentales
Antes de que se colocan los implantes dentales, es necesario que los dientes estén perfectamente sanos, en este proceso el Periodoncista hace una gran labor con tratamientos periodontales para dejarlos listos para su colocación.













