topdoctors logo
EspecialidadesEnfermedadesClínicas y CentrosDentistas
Zona para profesionales

Pide una cita

Teclea el nombre de la Especialidad, Tratamiento, Patología o Prueba Médica buscada

  • Inicio
  • Artículos médicos
  • Categorías
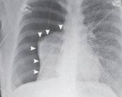
  • Neumotórax

Artículos médicos de Neumotórax

  • las-claves-del-neumotorax imagen de artículo
    Redacción de Top Doctors
    02/12/2014
    Redacción de Top Doctors

    Las claves del Neumotórax

    Las causas, los síntomas y los tratamientos del Neumotórax

en su ciudad

Teclee el nombre de la Especialidad, de la Enfermedad o del Nombre del Doctor buscado

  • Sobre Top Doctors
  • Quiénes somos
  • ¿Por qué elegirnos?
  • Garantía de calidad
  • Cómo funciona el proceso de selección
  • Comité médico
  • Política de privacidad
  • Condiciones de uso
  • Política de cookies
  • Política de uso para aplicaciones de terceros
  • Profesionales de la salud
  • Doctores
  • Centros de excelencia
  • Empresas colaboradoras
  • Forme parte de Top Doctors
  • Top Doctors Awards
  • Nominar doctores
  • Atención al paciente
  • Directorios Médicos de Prepagadas
  • Sugerencias y preguntas
  • Preguntas más frecuentes
  • Todos los tratamientos médicos
  • Prensa y medios
  • Medios de comunicación
  • Artículos médicos
  • Idiomas

Contacto

…

+57 (1) 580 0249

Redes sociales
CertificadosComodo Secure
Política de privacidad y Condiciones de uso

Top Doctors Colombia | Piramide Siete, Cra. 14 #127-10 oficina 211. Edificio, Bogotá, Colombia