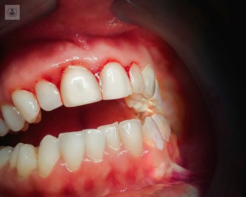
Tratamiento de la Gingivitis y la Periodontitis
Las causas de la Gingivitis y de la Periodontitis son fundamentalmente bacterianas. Hay más de 500 especies de bacterias en la flora bucal y un pequeño porcentaje de éstas es capaz de causar enfermedades de las encías bastante agresivas.








