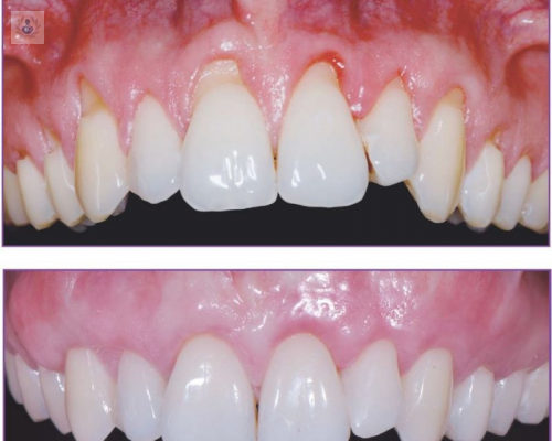
Cirugía Mucogingival: Qué es, indicaciones y técnicas más utilizadas
La Cirugía Mucogingival es un conjunto de procedimientos quirúrgicos diseñados para prevenir o corregir defectos anatómicos, evolutivos, traumáticos y patológicos en los tejidos blandos y duros que rodean a los dientes.







